Aufnahme 1
Spondylodiszitis
Klinik:
Eine 63-jährige Patientin kommt mit seit ca. 3 Jahren bestehenden Schmerzen im Rückenbereich.
Untersuchung/Befund:
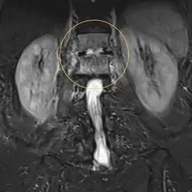
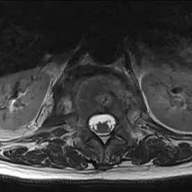
In der angefertigten MRT des LWS und des Abdomens zeigt sich eine kräftige T2w-Signalanhebung in den Wirbelkörpern BWK 12 und LWK 1 mit Irregularitäten der Abschlussplatten (Bild 1). Die angrenzende Psoasmuskulatur zeigt sich auch signalalteriert, betont auf der rechten Seite (Bild 2). Bei der Kontrastmittel-Unterstützer-Untersuchung zeigt sich ein kräftiges Enhancement in den Wirbelkörpern und der angrenzenden Muskulatur (Bild 3). Besonders auf der rechten Seite zeigen sich zudem auch abszessartige Formationen (Bild 4).
Beurteilung:
Der Befund ist vereinbar mit einer Spondylodiszitis von BWK 12/LWK 1 mit Absenkung in den Musculus psoas beidseits, rechtsbetont, differentialdiagnostisch ist hier an eine Tuberkulose als Ursache zu denken.
Epidemiologie
Die Spondylodiszitis weist zwei Altersgipfel auf. Dadurch werden die Veränderungen von vielen Autoren als zwei separate Entitäten betrachtet (Pädiatrie vs. ältere Bevölkerung ~50 Jahre)
Risikofaktoren können sein:
- Streuung einer bereits vorhandenen Infektion (in ~25% vorhanden)
- Aufsteigende Infektion, z. B. durch Instrumentierung des Urogenitaltrakts
- Instrumentierung der Wirbelsäule oder Trauma
- Intravenöser Drogenabusus (IVDU)
- Immunsuppression
- Langfristige systemische Verabreichung von Steroiden
- Fortgeschrittenes Alter
- Diabetes mellitus
- Organtransplantation
- Unterernährung
- Krebserkrankungen
Pathologie/Labor:
In der pädiatrischen Altersgruppe beginnt die Infektion häufig in der Bandscheibe selbst (direkte Blutversorgung noch vorhanden), während bei Erwachsenen davon ausgegangen wird, dass die Infektion an der Wirbelkörperendplatte beginnt, sich in den Bandscheibenraum und dann in die angrenzende Wirbelkörperendplatte ausbreitet.
Ätiologie
Bakterien:
- Staphylococcus aureus (am häufigsten; 60 %)
- Streptococcus viridans (bei Drogenabusus, immungeschwächte)
- Gramnegative Organismen, z. B. Enterobacter spp., E. coli
- Mycobacterium tuberculosis (Pott-Krankheit)
- andere weniger häufige Keime
Pilze
- Kryptokokkus neoformans
- Candida spp.
- Histoplasma capsulatum
- Coccidioides immitis
Spondylodiszitis kann überall in der Wirbelsäule auftreten, betrifft aber häufiger die Lendenwirbelsäule (außer TB, hier eher thorakolumbal). Hierbei muss unterschieden werden: zwischen Beteiligung eines Segments (65 %), mehrere zusammenhängende Segmente (20%), mehrere nicht zusammenhängende Segmente (10%).
Therapie/Prognose:
Bei der Therapie der Spondylodiszitis soll zum einen das betroffene Segment (Bandscheibe und Wirbelkörper) z. B. operativ stabilisiert werden, zum anderen muss das Bakterium mittels einer Antibiotikatherapie behandelt werden.
Differentialdiagnose:
Differentialdiagnostisch muss an folgende Diagnosen gedacht werden (MR morphologisch):
- Charcot joint
- Modic type I degenerative change
- Schmorl nodes
- Langerhans cell histiocytosis (LCH)
Literatur
- Dagirmanjian A, Schils J, McHenry M, Modic M. MR Imaging of Vertebral Osteomyelitis Revisited. AJR Am J Roentgenol. 1996;167(6):1539-43.
- Dunbar J, Sandoe J, Rao A, Crimmins D, Baig W, Rankine J. The MRI Appearances of Early Vertebral Osteomyelitis and Discitis. Clin Radiol. 2010;65(12):974-81.
- Falade O, Antonarakis E, Kaul D, Saint S, Murphy P. Beware of First Impressions. N Engl J Med. 2008;359(6):628-34.
- Ledermann H, Schweitzer M, Morrison W, Carrino J. MR Imaging Findings in Spinal Infections: Rules or Myths? Radiology. 2003;228(2):506-14.
- Ritchie D. Commentary on the MRI Appearances of Early Osteomyelitis and Discitis. Clin Radiol. 2010;65(12):982-3.
- Stäbler A & Reiser M. Imaging Of Spinal Infection. Radiol Clin North Am. 2001;39(1):115-35.
- Oztekin O, Calli C, Adibelli Z, Kitis O, Eren C, Altinok T. Brucellar Spondylodiscitis: Magnetic Resonance Imaging Features with Conventional Sequences and Diffusion-Weighted Imaging. Radiol Med. 2010;115(5):794-803.
- Prodromou M, Ziakas P, Poulou L, Karsaliakos P, Thanos L, Mylonakis E. FDG PET Is a Robust Tool for the Diagnosis of Spondylodiscitis. Clin Nucl Med. 2014;39(4):330-5.
- Glaudemans A, de Vries E, Galli F, Dierckx R, Slart R, Signore A. The Use Of18F-FDG-PET/CT for Diagnosis and Treatment Monitoring of Inflammatory and Infectious Diseases. Clinical and Developmental Immunology. 2013;2013:1-14.
- Hungenbach S, Delank K, Dietlein M, Eysel P, Drzezga A, Schmidt M. 18F-Fluorodeoxyglucose Uptake Pattern in Patients with Suspected Spondylodiscitis. Nucl Med Commun. 2013;34(11):1068-74.
- Gemmel F, Rijk P, Collins J, Parlevliet T, Stumpe K, Palestro C. Expanding Role of 18F-Fluoro-D-Deoxyglucose PET and PET/CT in Spinal Infections. Eur Spine J. 2010;19(4):540-51.
- Nanni C, Errani C, Boriani L et al. 68Ga-Citrate PET/CT for Evaluating Patients with Infections of the Bone: Preliminary Results. J Nucl Med. 2010;51(12):1932-6.
- Osmany, S, Zaheer, S, Thian, Y, Tan, A, Tan, B, Padhy, A, PET/CT Imaging of Osteomyelitis in Humans Using the Novel PET Tracer Gallium-68 Citrate: Results of a Pilot Project. Radiological Society of North America 2010 Scientific Assembly and Annual Meeting, November 28 - December 3, 2010 ,Chicago IL. http://archive.rsna.org/2010/9006643.html Accessed November 28, 2014
- Hadjipavlou A, Cesani-Vazquez F, Villaneuva-Meyer J et al. The Effectiveness of Gallium Citrate Ga 67 Radionuclide Imaging in Vertebral Osteomyelitis Revisited. Am J Orthop (Belle Mead NJ). 1998;27(3):179-83. -
- Barbara N. Weissman. Imaging of Arthritis and Metabolic Bone Disease. (2009) ISBN: 9780323041775
- Hatzenbuehler J & Pulling T. Diagnosis and Management of Osteomyelitis. Am Fam Physician. 2011;84(9):1027-33.
- Mauricio Castillo. Neuroradiology Companion. (2011) ISBN: 9781451111750
- Landi A, Grasso G, Iaiani G et al. Spontaneous Spinal Discitis and Spondylodiscitis: Clinicotherapeutic Remarks. J Neurosci Rural Pract. 2017;08(04):642-6.



