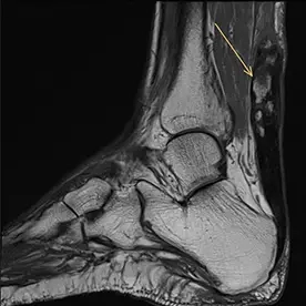
Aufnahme 1
Achillessehnenruptur
Klinik:
69-jährige Patientin mit seit langer Zeit bestehenden Schmerzen, bekannte Vorschädigung der Achillessehne, nun nach einem Trauma deutliche Schmerzexazerbation.
Untersuchung/Befund:
Akute Ruptur der Achillessehne mit Dehiszenz der Sehnenstümpfe um 2,4cm und gering vermehrter Flüssigkeit zwischen den Sehnenstümpfen (Bild 11-1). Zusätzlich zeigen sich Verkalkungen der Sehne als Zeichen einer chronischen Tendinosis calcarea (Bild 11-2, Pfeil).
Beurteilung:
Achillessehen - Ruptur
Epidemiologie
Männer sind deutlich mehr betroffen, was vermutlich auf die überwiegend sportbezogene Ätiologie zurückzuführen ist. Die Patient:innen sind in der Regel zwischen 30 und 50 Jahre alt und haben keine bestimmte Krankenvorgeschichte im Unterschenkel. Es gibt jedoch zahlreiche anerkannte Risikofaktoren, die eine Ruptur begünstigen:
- Intratendinöse Steroidinjektion
- Zuckerkrankheit (Diabetes mellitus)
- Systemische Entzündungskrankheiten
- Rheumatoide Arthritis
- Systemischer Lupus erythematosus
- Wiederholte Mikrotraumata
- Gicht
- Fluorchinolon-Antibiotika
- Hyperparathyreoidismus
Pathologie/Labor:
Das Spektrum der Risse reicht von Mikrorissen über interstitielle Risse (parallel zur Längsachse der Achillessehne) und Teilrisse bis hin zu vollständigen Rissen (Rupturen). Risse können akut oder chronisch sein, mit wiederholten leichten Traumata. Die unauffälligste Form ist lediglich eine Peritendonitis. Typischerweise kommt es bei jungen Menschen mit normaler Achillessehne zu Rissen in der "kritischen Zone", einem Bereich 2-6 cm über dem Ansatz der Ferse.
Therapie/Prognose:
Die Behandlung richtet sich nach dem Ausmaß des Risses. Kleinere Risse können zunächst konservativ behandelt werden, wobei eine Operation nur bei Versagen der konservativen Behandlung oder in einigen Fällen bei Hochleistungssportlern durchgeführt wird. Risse der gesamten Sehne werden in der Regel chirurgisch behandelt. Wenn der Patient oder die Patientin für eine chirurgische Operation nicht geeignet ist (gebrechlich, krank usw.), kann ein Gipsverband des Knöchels in der Pes equinus-Stellung eine Alternative sein.
Die chirurgische Behandlung führt zu einer kürzeren Achillessehne und einer besseren Wadenmuskelkraft (weniger Atrophie des M. Soleus) als die nicht-chirurgische, konservative Behandlung.
Literatur
- Kleinman M, Gross AE. Achilles tendon rupture following steroid injection. Report of three cases. J Bone Joint Surg Am. 1983;65 (9): 1345-7.
- Hartgerink P, Fessell DP, Jacobson JA et-al. Full- versus partial-thickness Achilles tendon tears: sonographic accuracy and characterization in 26 cases with surgical correlation. Radiology. 2001;220 (2): 406-12.
- Schweitzer ME, Karasick D. MR imaging of disorders of the Achilles tendon. AJR Am J Roentgenol. 2000;175 (3): 613-25.
- Manoj kumar RV, Rajasekaran S. Spontaneous tendon ruptures in alkaptonuria. J Bone Joint Surg Br. 2003;85 (6): 883-6.
- Jamadar DA, Jacobson JA, Theisen SE et-al. Sonography of the painful calf: differential considerations. AJR Am J Roentgenol. 2002;179 (3): 709-16.
- Schweitzer ME, Karasick D. MR imaging of disorders of the Achilles tendon. AJR Am J Roentgenol. 2000;175 (3): 613-25.
- Kayser R, Mahlfeld K, Heyde CE. Partial rupture of the proximal Achilles tendon: a differential diagnostic problem in ultrasound imaging. Br J Sports Med. 2005;39 (11): 838-42.
- Fujikawa A, Kyoto Y, Kawaguchi M et-al. Achilles tendon after percutaneous surgical repair: serial MRI observation of uncomplicated healing. AJR Am J Roentgenol. 2007;189 (5): 1169-74.
- Maffulli N, Thorpe AP, Smith EW. Magnetic resonance imaging after operative repair of achilles tendon rupture. Scand J Med Sci Sports. 2001;11 (3): 156-62.
- Heikkinen J, Lantto I, Flinkkila T, Ohtonen P, Niinimaki J, Siira P, Laine V, Leppilahti J. Soleus Atrophy Is Common After the Nonsurgical Treatment of Acute Achilles Tendon Ruptures: A Randomized Clinical Trial Comparing Surgical and Nonsurgical Functional Treatments. (2017) The American journal of sports medicine. 45 (6): 1395-1404.

