Aufnahme 1
Endokrine Orbitopathie
Klinik:
60-jährige Patientin mit einem bekannten Morbus Basedow. Die Patientin klagt über geschwollene und tränende Augen seit drei bis vier Monaten.
Untersuchung/Befund:
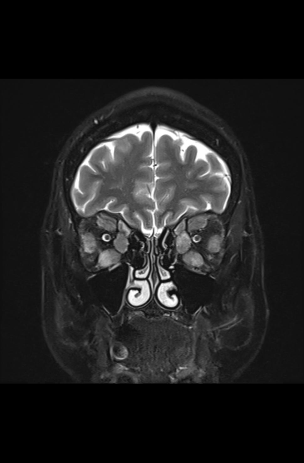
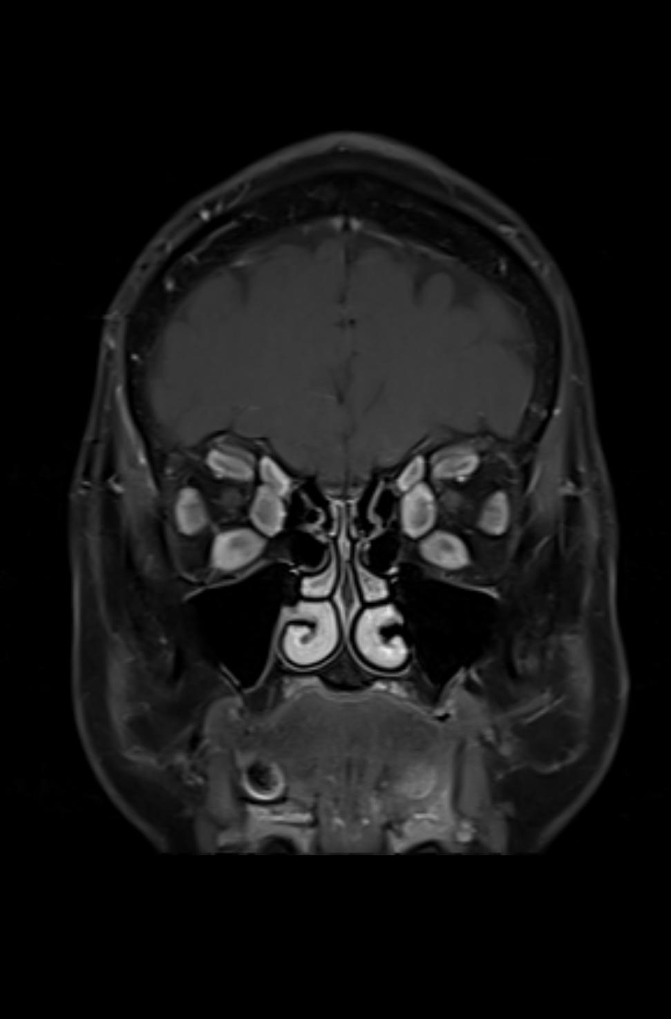
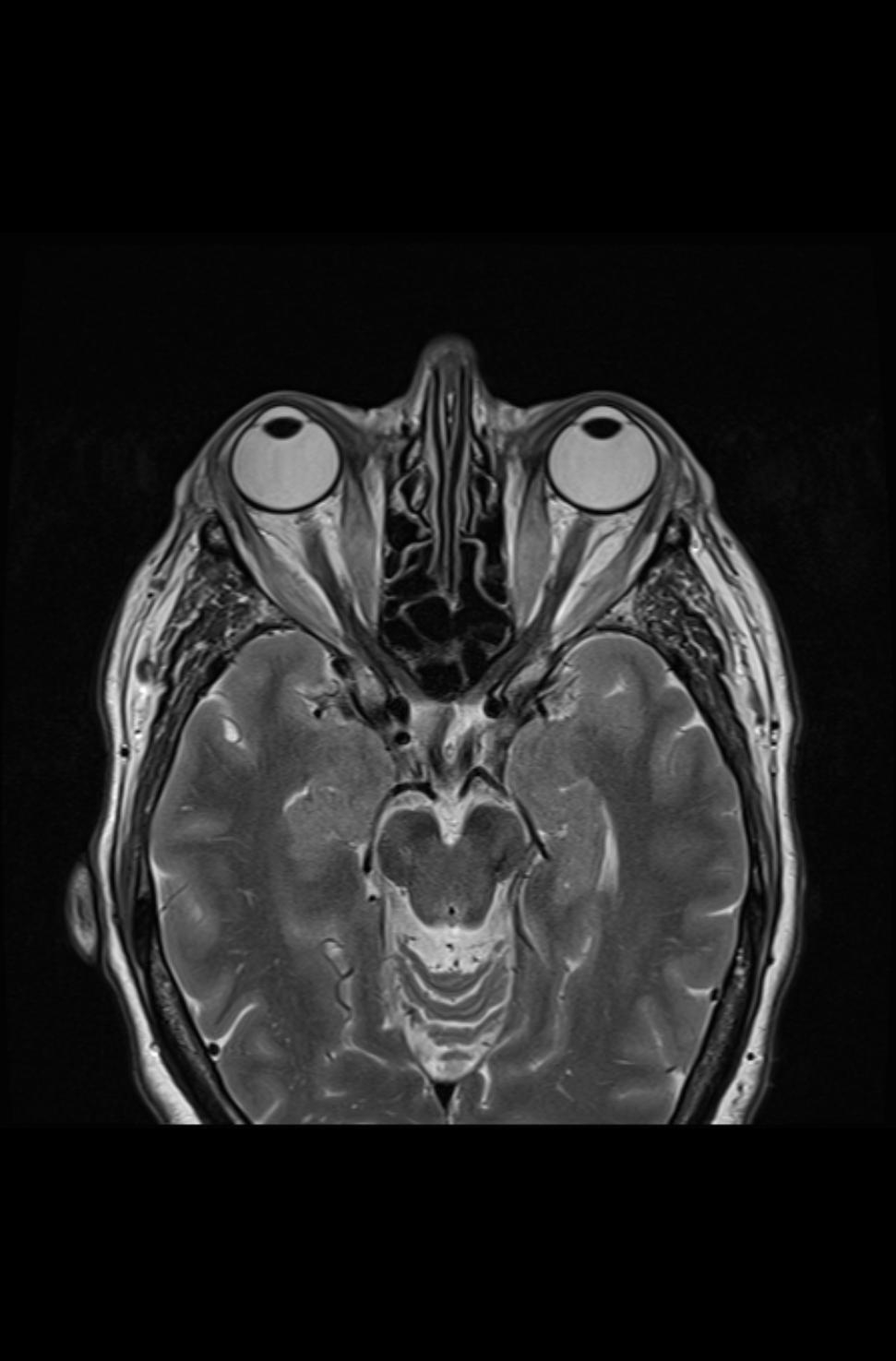
Es zeigen sich die typischen Verdickungen der Muskelbäuche der äußeren Augenmuskeln und ein Exopthalmus (Bild 3-3). In der koronaren, T2-gewichteten Sequenz mit Unterdrückung des Fettsignals (Fettsättigung) zeigt sich ein ausgeprägter Befund der endokrinen Orbitopathie mit Beteilung der Rectus-Muskeln beider Orbitae und einer Beteiligung des Musculus obliquus superior beidseits. Zusätzlich ist ein Ödem im Musculus rectus inferior beidseits, im Musculus rectus lateralis rechts, im Musculus rectus medialis links und im Musculus obliquus superior rechts abgrenzbar (Bild 3-1), welches auf eine akute entzündliche Aktivität deutet.
Beurteilung:
Endokrine Orbitopathie mit Exopthalmus.
Epidemiologie
Die endokrine (schilddrüsenassoziierte) Orbitopathie, die auch als endokrine Ophthalmopathie bezeichnet wird, ist die häufigste Ursache für eine Exophtalmus bei Erwachsenen und wird am häufigsten mit der Basedow-Krankheit in Verbindung gebracht. In der Bildgebung ist sie durch eine bilaterale und symmetrische Vergrößerung der extraokularen Muskelbäuche gekennzeichnet. Der Musculus rectus inferior ist am häufigsten betroffen, gefolgt vom Musculus rectus medialis und dem Musculus rectus superior. Die Sehnenansätze sind typischerweise verschont.
Die Demografie der endokrinen Orbitopathie spiegelt die Demografie von Patient:innen mit Schilddrüsenerkrankungen wider und ist daher häufiger bei Frauen anzutreffen. Obwohl der Morbus Basedow die häufigste Ursache ist, wurde auch eine Hashimoto-Thyreoiditis in Betracht gezogen. Die Orbitopathie kann dem Auftreten einer Schilddrüsenfunktionsstörung vorausgehen, gleichzeitig auftreten oder nach deren Auftreten beginnen.
Pathologie/Labor:
Die endokrine Orbitopathie ist durch eine Vergrößerung der extraokularen Muskeln sowie eine Zunahme des orbitalen Fettgewebes gekennzeichnet. Der genaue Mechanismus ist nicht bekannt, doch scheinen Antikörper gegen das schilddrüsenstimulierende Hormon (TSH) mit Antigenen in der Augenhöhle zu kreuzen, was zu einer Infiltration durch aktivierte T-Lymphozyten mit anschließender Freisetzung von Entzündungsmediatoren führt. Die Muskeln sind mit Entzündungszellen (Lymphozyten, Makrophagen, Plasmazellen und Eosinophilen) infiltriert, und es kommt zu einer vermehrten Ablagerung von Mucopolysacchariden. In langjährigen Fällen führt die vermehrte Kollagenablagerung zu einer Fibrose. Eine Zunahme des orbitalen Fettgewebes ist das Ergebnis einer venösen Stauung aufgrund der Kompression der Vena ophthalmica superior durch die vergrößerten Muskeln und/oder einer intrinsischen Entzündung des Gewebes.
Therapie/Prognose:
Obwohl die Krankheit in vielen Fällen selbstlimitierend ist und sich innerhalb von 2-5 Jahren spontan zurückbildet, erfordern Beschwerden, kosmetische Probleme, das Risiko von Hornhautgeschwüren und die Kompression des Sehnervs häufig eine Behandlung.
Therapieoptionen können sein:
- Medikamente: unterstützend, Steroide
- Strahlentherapie
- Chirurgische Dekompression
Differentialdiagnose:
- orbitaler Pseudotumor: betrifft die Sehnenansätze
- orbitale arteriovenöse Malformation
- orbitale Sarkoidose
- orbitales Lymphom
- orbitale Metastasen
- orbitale Amyloidose (selten)
- Erdheim-Chester-Krankheit
Literatur
- Glatt H. Optic Nerve Dysfunction in Thyroid Eye Disease: A Clinician's Perspective. Radiology. 1996;200(1):26-7.
- Chan L, Tan H, Fook-Chong S, Teo T, Lim L, Seah L. Graves Ophthalmopathy: The Bony Orbit in Optic Neuropathy, Its Apical Angular Capacity, and Impact on Prediction of Risk. AJNR Am J Neuroradiol. 2009;30(3):597-602.
- Cockerham K & Kennerdell J. Does Radiotherapy Have a Role in the Management of Thyroid Orbitopathy? View 1. Br J Ophthalmol. 2002;86(1):102-4.
- Birchall D, Goodall K, Noble J, Jackson A. Graves Ophthalmopathy: Intracranial Fat Prolapse on CT Images as an Indicator of Optic Nerve Compression. Radiology. 1996;200(1):123-7.
- Nugent R, Belkin R, Neigel J et al. Graves Orbitopathy: Correlation of CT and Clinical Findings. Radiology. 1990;177(3):675-82.
- Theodore Eliot Keats, Christopher Sistrom. Atlas of Radiologic Measurement. (2001) ISBN: 0323001610
- Parmar H & Ibrahim M. Extrathyroidal Manifestations of Thyroid Disease: Thyroid Ophthalmopathy. Neuroimaging Clin N Am. 2008;18(3):527-36, viii-ix.
- Ozgen A & Ariyurek M. Normative Measurements of Orbital Structures Using CT. AJR Am J Roentgenol. 1998;170(4):1093-6.
- Nugent R, Belkin R, Neigel J et al. Graves Orbitopathy: Correlation of CT and Clinical Findings. Radiology. 1990;177(3):675-82.
- John Robert Haaga. CT and MRI of the Whole Body. (2009) ISBN: 9780323053754
- Davies M & Dolman P. Levator Muscle Enlargement in Thyroid Eye Disease-Related Upper Eyelid Retraction. Ophthalmic Plast Reconstr Surg. 2017;33(1):35-9.
- Monteiro M, Gonçalves A, Silva C, Moura J, Ribeiro C, Gebrim E. Diagnostic Ability of Barrett's Index to Detect Dysthyroid Optic Neuropathy Using Multidetector Computed Tomography. Clinics (Sao Paulo). 2008;63(3):301-6.


