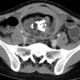
Aufnahme 1
Reifes ovarielles Teratom
Klinik:
22-jährige Patientin mit Unterbauchschmerzen seit wenigen Tagen und V.a. eine inflammatorische Erkrankung pelvin. Sonografisch bestand eine große, ätiologisch nicht sicher zuzuordnende Raumforderung cranial der Blase.
Untersuchung/Befund:
Die kontrastmittelverstärkte CT des Beckens zeigt eine 10 x 10 x 13cm große Raumforderung mit dicker Wand mit teils lipomatösen, teils nicht lipomatösem weichteiläquivalentem Inhalt, im Zentrum der Raumforderung besteht zudem eine Ossifikation (Pfeile), die den Aspekt einer Kieferanlage mit reifen Zähnen besitzt. Der CT-morphologische Verdacht eines reifen Teratoms. Bild einer Stieldrehung mit venöser Kongestion und Nekrose des betroffenen Adnexes.
Beurteilung:
CT-morphologischer Verdacht eines reifen Teratoms . Die klinische Symptomatik ist durch eine Stieldrehung mit venöser Kongestion und Nekrose des betroffenen Adnexes erklärbar.
Epidemiologie
Teratome sind Keimzelltumore, die aus ektopen pluripotenten Stammzellen entstehen, die während der Embryogenese vom Dottersackendoderm zum Urogenitalkamm nicht migrieren. Definitionsgemäß enthalten sie Elemente aus allen drei embryologischen Schichten: Endoderm, Mesoderm und Ektoderm, obwohl häufig auch Elemente aus nur zwei Schichten zu finden sind. Aus diesem Grunde beinhalten die Tumore auch Gewebekomponenten, die aus allen drei Keimblättern entstehen, ektodermale Elemente wie Haut und Hautanhangsgebilde insbesondere Talgdrüsen dominieren jedoch, daher das Synonym Dermoidzyste. Etwa 50% der reifen Teratome enthalten Ossifikationen oder Zahnanlagen. Reife ovarielle Teratome sind die häufigsten gutartigen Tumore von Frauen in der reproduktiven Phase mit einem Häufigkeitsgipfel in der 3. Lebensdekade. Maligne Entartungen in sarkomatöse oder karzinomatöse Neoplasien sind selten und kommen in bis zu 2% der Fälle vor.
Reife zystische Teratome machen ~15 % (Bereich 10-20 %) aller Ovarialneoplasien aus. Sie werden in der Regel bei jungen Frauen entdeckt, typischerweise im Alter von 30 Jahren und sind auch die häufigste Ovarialneubildung bei Patientinnen unter 20 Jahren.
Pathologie/Labor:
Teratome reichen von gutartigen, reifen, gut differenzierten zystischen Läsionen bis hin zu unreifen, schlecht differenzierten Läsionen mit festen Bestandteilen und maligner Transformation. Infolgedessen können sie eine große Vielfalt an Gewebetypen enthalten, darunter:
- Fett
- zystische Läsionen aufgrund von Schleimproduktion oder anderen exokrinen Produkten
- Weichteilgewebe aus allen Teilen des Körpers
- Kalkablagerungen einschließlich Zähnen
Gelegentlich enthalten reife Teratome Elemente, die bösartig entarten können (am häufigsten plattenepitheliale Komponete).
Komplikationen
- Ovarialtorsion (wie bei der Patientin in diesem Fall): ~3-16% der Ovarialteratome im Allgemeinen; gilt als die häufigste Komplikation
- Ruptur: ~1-4%
- Maligne Entartung: ~1-2 %, in der Regel in Plattenepithelkarzinome (Erwachsene) oder selten in endodermale Sinustumoren (Kinder)
- Infektiöse Begleiterkrankungen: 1%
- Autoimmune hämolytische Anämie: <1%
- Hyperthyreose (nur bei Struma ovarii)
- Karzinoid-Syndrom (selten)
- Paraneoplastische Anti-N-Methyl-D-Aspartat-Rezeptor (Anti-NMDA-Rezeptor) assoziierte limbische Enzephalitis (selten)
- Gliomatosis peritonei: ist eine seltene Erkrankung, die durch metastasierendes Gliagewebe im Peritoneum, Omentum und in den Lymphknoten gekennzeichnet ist
Therapie/Prognose:
Reife Ovarialteratome wachsen nur langsam (1-2 mm pro Jahr), weshalb manche eine nicht-chirurgische Behandlung befürworten. Größere Läsionen werden häufig chirurgisch entfernt. Viele empfehlen eine jährliche Nachuntersuchung für Läsionen <7 cm, um das Wachstum zu überwachen; darüber hinaus wird eine Resektion empfohlen.
Differentialdiagnose:
- Hämorrhagische Ovarialzyste
- Endometriom
- Artefakte durch hohes T1-Signal, das bei Fettsättigung nicht unterdrückt wird
- T2-Shine through
- Gestieltes Lipoleiomyom des Uterus
- Unreifes Teratom
- Seröses oder muzinöses Zystadenom/Zystadenkarzinom der Eierstöcke
Literatur
- Outwater EK, Siegelman ES, Hunt JL. Ovarian teratomas: tumor types and imaging characteristics. Radiographics. 21 (2): 475-90.
- Vouza E, Dastamani C, Iavazzo C et-al. Rare case of an ovarian monodermal teratoma with functional stroma and extensive ovarian decidualization in a 74-year-old woman. Eur. J. Gynaecol. Oncol. 2011;32 (2): 243-5. -
- Prasad SB, Sinha MR. Monodermal cystic ovarian teratoma composed of respiratory epithelium. Postgrad Med J. 1983;59 (687): 52-3.
- Spaun E, Rix P. Benign cystic monodermal teratoma of neurogenic type. Int. J. Gynecol. Pathol. 1990;9 (3): 283-90. -

