Aufnahme 1
Pyelonephritis
Klinik:
Eine 20-jährige Patientin hat schon seit längerer Zeit immer wieder rezidivierende Schmerzen im Bereich der Nieren beidseits mit chronisch rezidivierenden Pyelonephritiden. Die Schmerzen sind rechtsseitig betont und strahlen in den Unterleib und Rücken aus. Vermutet wird eine Abflussstörung der ableitenden Harnwege, DD Reflux.
Untersuchung/Befund:
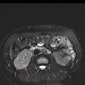
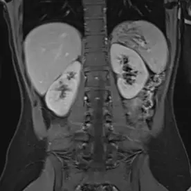
Es erfolgte eine MRT der Nieren mit intravenöser Kontrastmittelgabe und urographischer Phase zur dedizierten Darstellung der ableitenden Harnwege. Es bestätigte sich eine Anlagevariante der rechten ableitenden Harnwege, eine Doppelung des rechten proximalen Ureters mit Fusion im proximalen Drittel (Ureter fissus) bei regelrechter Darstellung der Nierenbeckenkelchsysteme (Bild 1). Im Nierenparenchym beidseits zeigen sich mehrere, keilförmige Areale mit Diffusionsstörungen und teils T2-hyperintensen Foci (Bild 2 und 3). Nach i.v. Kontrastmittelgabe zeigt sich ein weitesgehend unauffällig und homogen kontrastiertes Nierenparenchym beidseits (Bild 4).
Beurteilung:
Bild einer chronischen Pyelonephritis i.R. einer rezidivierender Reflux auf dem Boden eines Ureter fissus.
Epidemiologie
Die Häufigkeit der akuten Pyelonephritis entspricht der Häufigkeit von Infektionen der unteren Harnwege: Sie ist bei Frauen etwa fünfmal so hoch und nimmt nach der Pubertät stark zu.
Pathologie/Labor:
Die am häufigsten vorkommenden Organismen stammen aus dem Magen-Darm-Trakt:
Escherichia coli (am häufigsten)/ Klebsiella spp./ Proteus spp./ Enterobacter spp./ Pseudomonas spp./ Haemophilus influenzae.
Die Infektion gelangt in die oberen Harnwege, indem sie von der Blase aus retrograd den Harnleiter hinaufwandert. Dies wird durch Virulenzfaktoren erleichtert, die es den Bakterien ermöglichen, am Urothel zu haften (z. B. Adhäsin P) und die Peristaltik des Harnleiters zu hemmen (Endotoxine). Die Infektion dringt dann in die Sammelröhre ein und führt zu einer interstitiellen Nephritis mit daraus resultierenden Veränderungen der Nierenfiltration und des Blutflusses in der betroffenen Region. Eine lokale Ischämie als Folge der entzündlichen Veränderungen kann schließlich zu Nekrose und Vernarbung führen.
Therapie/Prognose:
Die Patient:innen sollten mit Antibiotika, Analgetika und Antipyretika behandelt werden. Antibiotika sollten anfangs verabreicht und entsprechend den Ergebnissen der Urinkultur angepasst werden. Die meisten Patient:innen sprechen rasch auf eine angemessene orale Antibiotikatherapie an, und häufig ist überhaupt keine Bildgebung erforderlich. Eine intravenöse Antibiotikatherapie ist komplizierten Fällen einer akuten Pyelonephritis vorbehalten. Selbst wenn eine Bildgebung durchgeführt wurde, ist in der Regel keine weitere Bildgebung erforderlich, es sei denn, die Patient:innen sprechen klinisch nicht an. Bei anderen Ursachen, wie hier bei Ureter fissus, muss die grundlegende Pathologie behoben werden.
Das Vorhandensein einer Infektion der oberen Harnwege bei Vorliegen einer Obstruktion kann zu einer Niereninsuffizient führen, und eine perkutane Nephrostomie ist in der Regel als Notfallmaßnahme erforderlich.
Differentialdiagnose:
- Niereninfarkt
- typischerweise den peripheren Aspekt der Hirnrinde, was zu dem Zeichen des kortikalen Rands führt
- Andere Ursachen einer interstitiellen Nephritis
- Sarkoidose
- Medikamenteninduzierte Veränderungen des Nierenparenchyms
- Nierenlymphom: kann in verschiedenen Formen auftreten und eine Pyelonephritis vortäuschen
Literatur
- Craig W, Wagner B, Travis M. Pyelonephritis: Radiologic-Pathologic Review. Radiographics. 2008;28(1):255-76.
- Majd M, Nussbaum Blask AR, Markle BM et-al. Acute pyelonephritis: comparison of diagnosis with 99mTc-DMSA, SPECT, spiral CT, MR imaging, and power Doppler US in an experimental pig model. Radiology. 2001;218 (1): 101-8.
- Johnson PT, Horton KM, Fishman EK. Optimizing detectability of renal pathology with MDCT: protocols, pearls, and pitfalls. AJR Am J Roentgenol. 2010;194 (4): 1001-12.
- Zagoria RJ. Genitourinary radiology, the requisites. Mosby Inc. (2004) ISBN:0323018424.
- Jennette JC, Heptinstall RH. Heptinstall's pathology of the kidney. Lippincott Williams & Wilkins. (2007) ISBN:0781747503.
- Foxman B, Klemstine KL, Brown PD. Acute pyelonephritis in US hospitals in 1997: hospitalization and in-hospital mortality. Ann Epidemiol. 2003;13 (2): 144-50.
- Fukami H, Takeuchi Y, Kagaya S, Ojima Y, Saito A, Sato H, Matsuda K, Nagasawa T. Perirenal fat stranding is not a powerful diagnostic tool for acute pyelonephritis. (2017) International journal of general medicine. 10: 137-144.
- Chen WL, Huang IF, Wang JL, Hung CH, Huang JS, Chen YS, Lee SS, Hsieh KS, Tang CW, Chien JH, Chiou YH, Cheng MF. Comparison of acute lobar nephronia and acute pyelonephritis in children: a single-center clinical analysis in southern taiwan. (2015) Pediatrics and neonatology. 56 (3): 176-82.
- Conley SP, Frumkin K. Acute lobar nephronia: a case report and literature review. (2014) The Journal of emergency medicine. 46 (5): 624-6.
- Wolfgang Dähnert. Radiology Review Manual. (2011)
- Belyayeva M, Belyayeva JJ, Belyayeva. Acute Pyelonephritis. (2021).



