Aufnahme 1
Prostatahyperplasie (s. auch Prostatakrebs)
Klinik:
Ein 66-jähriger Patient stellt sich mit einem Anstieg des PSA-Wertes auf 9,25 ng/ml zur weiteren Abklärung und zum Ausschluss eines malignen Geschehens vor. Anamnestisch ist die Familienanamnese bezüglich eines Prostatakarzinoms negativ.
Untersuchung/Befund:
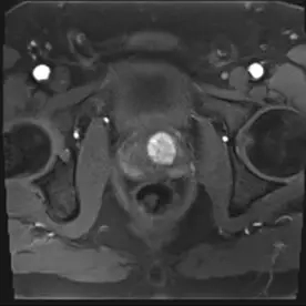
Es erfolgte eine multiparametrische MRT der Prostata mit intravenöser Kontrastmittelgabe. Neben einer Prostatahyperplasie mit ca. 47 ml Volumen zeigte sich der Nachweis von 2 malignitätssuspekten Läsionen.
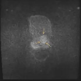
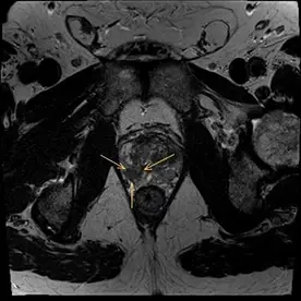
Die Läsion 1 liegt in der Transitionszone links paramedian basal und im mittleren Drüsendrittel mit einer Signalminderung in T2w (Bild 1), Diffusionsstörung (Bild 2) und Korrelat in der DCE. Die Größe der Läsion beträgt ca. 25x20x28mm, sie zeigt keine Überschreitung der Kapsel und keine Invasion in das neurovaskuläre Bündel (Bild 5). Die Läsion wurde als PI-RADS 5 klassifiziert und hat somit ein sehr hohes Malignitätsrisiko.
Die Läsion 2 liegt in der peripheren Zone rechts apikal mit ebenfalls niedrigem Signal in T2w (Bild 3), Diffusionsstörung (Bild 4) und Korrelat in der DCE. Diese Läsion zeigt einen Kontakt zur Kapsel. Das neurovaskuläre Bündel wird hier ebenfalls nicht infiltriert. Die Läsion wurde als PI-RADS 4 klassifiziert und zeigt damit ein hohes Malignitätsrisiko.
Darüber hinaus zeigen sich keine metastasensuspekten ossären oder lymphonodulären Läsionen, auch die Samenblasen werden nicht infiltriert.
Zur weiteren Abklärung mit dem V.a. ein multifokales Prostatakarzinom wurde eine gezielte Biopsie der beschriebenen Läsionen empfohlen.
Beurteilung:
Benigne Prostata-Hyperplasie zum einen, Bild eines Prostatakrebs zum anderen. Keine Lymphknoten- oder Fernmetastasen.
Epidemiologie
Im Alter von 60 Jahren haben 50 % der Männer eine gutartige Prostatahyperplasie (Prostatavergrößerung) - im Alter von 90 Jahren sind es sogar 90% der Männer. Daher wird sie oft als "pyhsiologischer" (normaler) Prozess des Alterns angesehen. Folgende Risikofaktoren werden hierbei jedoch berücksichtigt:
- Familienanamnese
- Schwarze Bevölkerung > Weiße Bevölkerung > Asiatische Bevölkerung
- Kardiovaskuläre Erkrankung (Herzerkrankungen)
- Verwendung von Betablockern
- Metabolisches Syndrom: Diabetes, Bluthochdruck, Fettleibigkeit
Pathologie/Labor:
Die benigne (gutartige) Prostatahyperplasie ist auf eine Kombination aus Stroma- und Drüsenhyperplasie zurückzuführen, die vorwiegend in der Transitionalzone auftritt (im Gegensatz zum Prostatakrebs, der in der Regel in der peripheren Zone entsteht).
Androgene (wie z. B. Testosteron) sind für die Entwicklung der gutartigen Prostatahyperplasie notwendig, aber nicht die direkte Ursache für die Hyperplasie. Der PSA-Wert (Prostata Spezifisches Antigen) ist erhöht aufgrund der Größe, ist jedoch nicht spezifisch (erhöhter Wert ist somit nicht nur bei Krebs gegeben).
Therapie/Prognose:
Die medikamentöse Behandlung im Frühstadium der Erkrankung beginnt in der Regel mit einem Alpha-Blocker wie Tamsulosin in Kombination mit einem 5-Alpha-Reduktase-Hemmer wie Dutasterid.
Die chirurgische Behandlung symptomatischer Patienten erfolgt in der Regel durch eine transurethrale Resektion der Prostata (TURP). Angesichts der hohen Prävalenz sowohl der gutartigen Prostatahyperplasie als auch der Symptome des unteren Harntrakts (LUTS) in dieser Bevölkerungsgruppe ist eine sorgfältige Auswahl der Patienten wichtig. Heute können auch Laserverfahren eingesetzt werden, darunter die Holmium-Laser-Enukleation.
Die invasive arterielle Prostataembolisation (PAE) ist ein neues minimal-invasives Verfahren mittels eines Katheter, das nachweislich ähnlich wirksam ist wie herkömmliche chirurgische Techniken und ein geringeres Risiko für schwerwiegende unerwünschte Ereignisse wie Blutungen, Harnwegsinfektionen und sexuelle Dysfunktion aufweist.
Differentialdiagnose:
Die wichtigste Differentialdiagnose ist Prostatakrebs.
Literatur
- Weissleder R, Wittenberg J, Harisinghani MG. Primer of diagnostic imaging. Mosby Inc. (2007) ISBN:0323040683.
- Ishida J, Sugimura K, Okizuka H et-al. Benign prostatic hyperplasia: value of MR imaging for determining histologic type. Radiology. 1994;190 (2): 329-31.
- Grossfeld GD, Coakley FV. Benign prostatic hyperplasia: clinical overview and value of diagnostic imaging. Radiol. Clin. North Am. 2000;38 (1): 31-47.
- McClennan BL. Diagnostic imaging evaluation of benign prostatic hyperplasia. Urol. Clin. North Am. 1990;17 (3): 517-36.
- Jepsen JV, Bruskewitz RC. Comprehensive patient evaluation for benign prostatic hyperplasia. Urology. 1998;51 (4A Suppl): 13-8.
- Scheckowitz EM, Resnick MI. Imaging of the prostate. Benign prostatic hyperplasia. Urol. Clin. North Am. 1995;22 (2): 321-32.
- Pathy's principles and practice of geriatric medicine. Wiley-Blackwell. ISBN:0470683937.
- Gao YA, Huang Y, Zhang R et-al. Benign prostatic hyperplasia: prostatic arterial embolization versus transurethral resection of the prostate--a prospective, randomized, and controlled clinical trial. (2014) Radiology. 270 (3): 920 8.
- Garcia C, Chin P, Rashid P et-al. Prostatic urethral lift: A minimally invasive treatment for benign prostatic hyperplasia. (2015) Prostate international. 3 (1): 1-5.
- Foo KT. Solving the benign prostatic hyperplasia puzzle. (2016) Asian journal of urology. 3 (1): 6-9.
- Miah S, Catto J. BPH and prostate cancer risk. (2014) Indian journal of urology : IJU : journal of the Urological Society of India. 30 (2): 214-8.
Stichworte: multiparametrische MRT, MRT der Prostata, PI-RADS, PI-RADS 5. PI-RADS 4, Transitionszone, periphere Zone, Prostatahyperplasie, multifokales Prostatakarzinom




